암진단 사례

아산유외과
암진단 사례입니다.

내용보기
아산유외과 개원후 169번째 유방암진단
작성자 관리*** 등록일 2014-11-12 16:10:51 조회수 939
첨부파일 첨부파일 없음

 

 

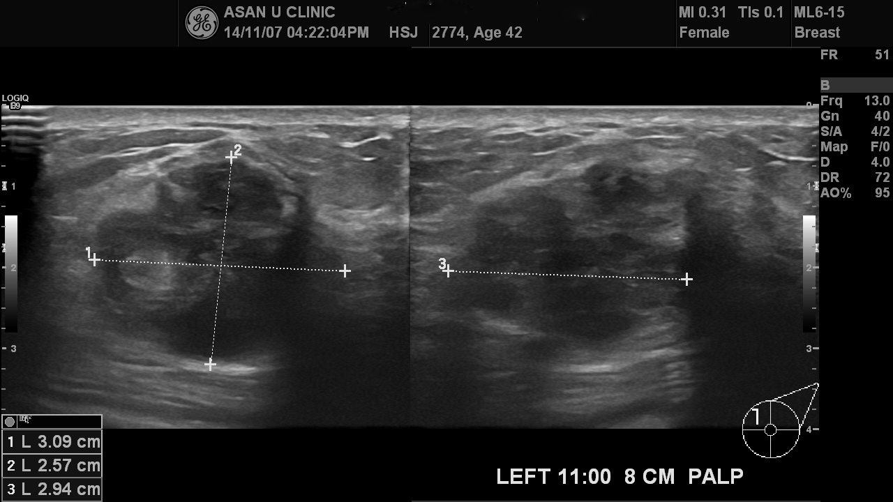
좌측 유방 상내측에 갑자기 만져지는 혹이 있어 내원한 42세 여성입니다.

초음파상 3cm이상의 혹이 있고 내부가 지저분한 에코를 보여

조직검사를 실시하였으며

안타깝게도 침윤성 유관암으로 진단되셨습니다.

 

0개의 코멘트가 있습니다.