암진단 사례

아산유외과
암진단 사례입니다.

내용보기
아산유외과 개원 후 163번째 유방암 진단.
작성자 관리*** 등록일 2014-10-28 19:10:03 조회수 1008
첨부파일 첨부파일 없음



 

 

 

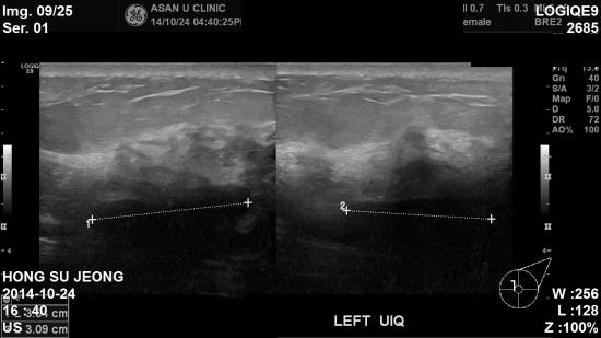
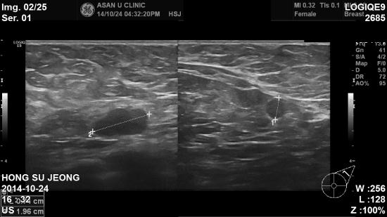
가족력 있는 환자로서,

좌측 유방 크게 만져지는 멍우리 소견으로

본원에 내원 하신 38세 여성분이십니다.

초음파상 좌측 11시방향 0.82cm, 10시 방향 3.34cm 미

좌측 겨드랑이 림프절 비대소견으로

조직검사 및 세침검사 시행 하여

침윤성 유관암 및 겨드랑이 전이로 진단 되었습니다.

가족력이 있는 경우,

자가검진과 정밀 검진을 잊지 말고 하시기 바랍니다.

감사합니다.

0개의 코멘트가 있습니다.