아산유외과의원
menu
icon1
온라인상담
icon2
온라인예약
icon3
오시는길
icon4
진료시간
icon1
로그인
icon2
회원가입
icon3
ID/비번찾기
원장소개
병원소개
맘모톰클리닉
유방암클리닉
갑상선클리닉
암진단사례
건강TV
home
암진단 사례
암진단 사례
아산유외과
암진단 사례
입니다.
내용보기
아산유외과 개원 후 24번째 갑상선암 진단.
작성자
관리***
등록일
2014-10-24 10:33:01
조회수
1018
첨부파일
첨부파일 없음
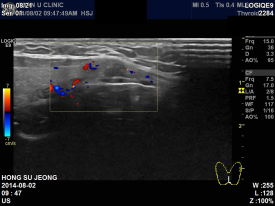
좌측 목에 만져지는 멍우리로 내원하신 27세 여자분이십니다.
본원 갑상선 초음파상 양측 목의 림프절 비대 및
좌측에 1.2 cm 정도의 불분명한 결절 소견이 있었고,
세포검사 시행결과 갑상선 유두암으로 진단되셨습니다.
유방 뿐만 아니라 목 부근에도 만져지는 멍우리가 있을 시에는
지체하지 말고 바로 내원하여 전문의와 상담하시기 바랍니다.
감사합니다.
0개의 코멘트가 있습니다.
이름
제목
내용
검색
게시판 입니다
번호
제목
작성자
등록일
136
아산유외과 개원후 166번째 유방암진단
관리***
2014.11.08
135
아산유외과 개원후 165번째 유방암진단
관리***
2014.11.01
134
아산유외과 개원 후 164번째 유방암 진단.
관리***
2014.10.29
133
아산유외과 개원 후 163번째 유방암 진단.
관리***
2014.10.28
132
아산유외과 개원 후 162번째 유방암 진단.
관리***
2014.10.25
131
아산유외과 개원 후 24번째 갑상선암 진단.
관리***
2014.10.24
130
아산유외과 개원 후 161번째 유방암 진단
관리***
2014.10.23
129
아산유외과 개원 후 160번째 유방암 진단
관리***
2014.10.23
128
아산유외과 개원 후 159번째 유방암 진단
관리***
2014.10.23
127
아산유외과 개원 후 158번째 유방암 진단
관리***
2014.10.23
126
<개원 후 유방암, 갑상선암 게시물 공지>
관리***
2014.10.23
125
아산유외과 비급여 항목 안내
관리***
2014.10.21
124
아산유외과 개원 후 100번째 유방암진단.
관리***
2014.10.21
123
아산유외과 개원 후 99번째 유방암진단.
관리***
2014.10.21
122
아산유외과 개원 후 98번째 유방암진단.
관리***
2014.10.21
<<
61
62
63
64
65
66
67
68
69
70
>>