아산유외과의원
menu
icon1
온라인상담
icon2
온라인예약
icon3
오시는길
icon4
진료시간
icon1
로그인
icon2
회원가입
icon3
ID/비번찾기
원장소개
병원소개
맘모톰클리닉
유방암클리닉
갑상선클리닉
암진단사례
건강TV
home
암진단 사례
암진단 사례
아산유외과
암진단 사례
입니다.
내용보기
아산유외과 개원 후 159번째 유방암 진단
작성자
관리***
등록일
2014-10-23 20:09:12
조회수
893
첨부파일
첨부파일 없음
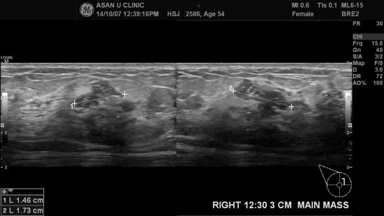
우측 유방에 몽우리가 만져져 내원하신 54세 여성입니다.
미세석회화가 동반된, 혹이 만져진다는 부위 외에도 한곳에 더 있었고
조직검사로 각각 침윤성 유관암으로 나왔으며
배경으로 상피내암이 넓게 분포되어 있습니다.
혹의 크기는 커도
침윤성 유관암의 가장 긴 길이로
병기가 결정되기에,
다행이 상피내암이 크게 깔려있는 것은 괴념치 않아도 됩니다.
멋진 가을 주말 보내세요.
감사합니다.
0개의 코멘트가 있습니다.
이름
제목
내용
검색
게시판 입니다
번호
제목
작성자
등록일
136
아산유외과 개원후 166번째 유방암진단
관리***
2014.11.08
135
아산유외과 개원후 165번째 유방암진단
관리***
2014.11.01
134
아산유외과 개원 후 164번째 유방암 진단.
관리***
2014.10.29
133
아산유외과 개원 후 163번째 유방암 진단.
관리***
2014.10.28
132
아산유외과 개원 후 162번째 유방암 진단.
관리***
2014.10.25
131
아산유외과 개원 후 24번째 갑상선암 진단.
관리***
2014.10.24
130
아산유외과 개원 후 161번째 유방암 진단
관리***
2014.10.23
129
아산유외과 개원 후 160번째 유방암 진단
관리***
2014.10.23
128
아산유외과 개원 후 159번째 유방암 진단
관리***
2014.10.23
127
아산유외과 개원 후 158번째 유방암 진단
관리***
2014.10.23
126
<개원 후 유방암, 갑상선암 게시물 공지>
관리***
2014.10.23
125
아산유외과 비급여 항목 안내
관리***
2014.10.21
124
아산유외과 개원 후 100번째 유방암진단.
관리***
2014.10.21
123
아산유외과 개원 후 99번째 유방암진단.
관리***
2014.10.21
122
아산유외과 개원 후 98번째 유방암진단.
관리***
2014.10.21
<<
61
62
63
64
65
66
67
68
69
70
>>