아산유외과의원
menu
icon1
온라인상담
icon2
온라인예약
icon3
오시는길
icon4
진료시간
icon1
로그인
icon2
회원가입
icon3
ID/비번찾기
원장소개
병원소개
맘모톰클리닉
유방암클리닉
갑상선클리닉
암진단사례
건강TV
home
암진단 사례
암진단 사례
아산유외과
암진단 사례
입니다.
내용보기
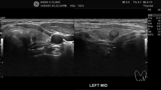
아산유외과 개원 후 23번째 갑상선암 진단.
작성자
관리***
등록일
2014-10-21 20:35:23
조회수
807
첨부파일
첨부파일 없음
유방암으로 수술후 시행한 PET 검사에서 갑상선에 이상이 있다고
의뢰되신 72세 여성분입니다.
좌엽 갑상선에 1cm미만의 매우 작은 혹이 있어
세포검사하여 갑상선의 유두암 진단되었습니다.
크기도 작아 완치율은 유방암보다 훨씬 높습니다.
0개의 코멘트가 있습니다.
이름
제목
내용
검색
게시판 입니다
번호
제목
작성자
등록일
121
아산유외과 개원 후 97번째 유방암진단.
관리***
2014.10.21
120
아산유외과 개원 후 96번째 유방암진단.
관리***
2014.10.21
119
아산유외과 개원 후 23번째 갑상선암 진단.
관리***
2014.10.21
118
아산유외과 개원 후 95번째 유방암진단.
관리***
2014.10.21
117
아산유외과 개원 후 94번째 유방암진단.
관리***
2014.10.21
116
아산유외과 개원 후 93번째 유방암진단.
관리***
2014.10.21
115
아산유외과 개원 후 92번째 유방암진단.
관리***
2014.10.21
114
아산유외과 개원 후 22번째 갑상선암 진단.
관리***
2014.10.21
113
아산유외과 개원 후 91번째 유방암진단.
관리***
2014.10.21
112
아산유외과 개원 후 90번째 유방암진단.
관리***
2014.10.21
111
아산유외과 개원 후 89번째 유방암진단.
관리***
2014.10.21
110
아산유외과 개원 후 88번째 유방암진단.
관리***
2014.10.21
109
아산유외과 개원 후 87번째 유방암진단.
관리***
2014.10.21
108
아산유외과 개원 후 86번째 유방암진단.
관리***
2014.10.21
107
아산유외과 개원 후 85번째 유방암진단.
관리***
2014.10.21
<<
61
62
63
64
65
66
67
68
69
70
>>