암진단 사례

아산유외과
암진단 사례입니다.

내용보기
아산유외과 개원 후 91번째 유방암진단.
작성자 관리*** 등록일 2014-10-21 20:28:28 조회수 948
첨부파일 첨부파일 없음

 
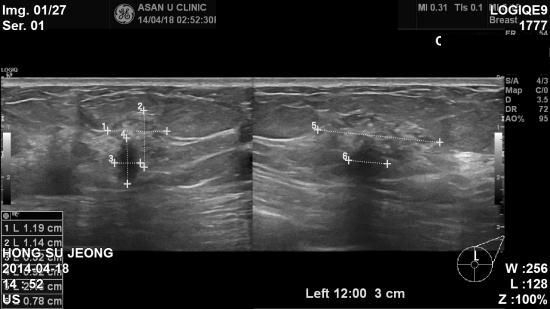
좌측유방의 만져지는 멍우리로
외부 유방 촬영상 이상소견으로 내원하신 63세 여자분이십니다.

유방촬영(유방x-ray) 상 좌측유방의 미세석회회와 종괴소견있었고,

본원 초음파상 좌측유방 11:30분방향, 12시방향, 2시방향에
악성으로 의심되는 종괴소견있어 조직검사결과

상피내암 및 침윤성 유관암으로 진단되었습니다.

다행이 초음파상 겨드랑이 림프절 전이소견은 없었지만,
PET 나 유방 MRI 등 추가검사를 통해 치료계획을 세울
예정이십니다.

바쁘셔서 그동안 공단검진을 한번도 못하신 환자분이신데..
다시한번 공단검진의 중요성이 강조됩니다.

환자분의 빠른쾌유를 기도합니다.

감사합니다.

 

0개의 코멘트가 있습니다.