암진단 사례

아산유외과
암진단 사례입니다.

내용보기
아산유외과개원후 147번째 갑상선암진단
작성자 관리*** 등록일 2025-10-14 12:54:07 조회수 124
첨부파일 첨부파일 없음

 

 

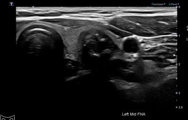
상기환자 갑상선 외부검사상 이상소견으로 세침검사하신 30대 여성분으로

 

의심스러운 갑상선 좌엽 검사 결과 갑상선암으로 진단되었습니다

0개의 코멘트가 있습니다.