암진단 사례

아산유외과
암진단 사례입니다.

내용보기
아산유외과개원후 957번째 유방암진단
작성자 관리*** 등록일 2025-09-18 12:38:27 조회수 188
첨부파일 첨부파일 없음

 

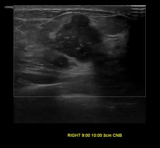
상기환자 우측 유방에 만져지는 멍울있어 내원하신 50대 여성분으로 

 

우측유방 혹 총조직검사 시행해 유방암 진단되었습니다.

 

0개의 코멘트가 있습니다.