암진단 사례

아산유외과
암진단 사례입니다.

내용보기
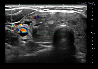
아산유외과개원후 146번째 갑상선암진단
작성자 관리*** 등록일 2025-09-03 12:46:09 조회수 205
첨부파일 첨부파일 없음

 

 

상기환자 갑상선 추적관찰 중 이상소견으로 세침검사하신 30대 여성분으로

 

의심스러운 갑상선 우엽 검사 결과 갑상선암으로 진단되었습니다

0개의 코멘트가 있습니다.