암진단 사례

아산유외과
암진단 사례입니다.

내용보기
아산유외과 개원 후 90번째 유방암진단.
작성자 관리*** 등록일 2014-10-21 20:26:08 조회수 855
첨부파일 첨부파일 없음
 
 
 
 
 

 
 
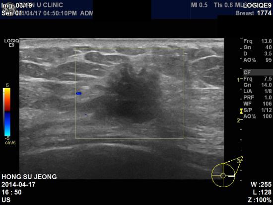
한달전부터 좌측유방에 화끈하고 욱씬거리는 통증이 있어
본원에 내원하신 57세 여자분이십니다.

본원 초음파상 좌측 3: 30분 방향에
1.87 cm 의 불규칙한 경계를 가진 종괴 및 겨드랑이 림프절 비대소견있어

조직검사와 세포검사 시행결과 침윤성 유관암 및
겨드랑이 림프절 전이로 진단되었습니다.

몇달전부터 있었던 유방의 통증을 '괜찮아지겠지' 생각하여
유방암이 어느정도 진행 된 상태였습니다.

이와같이 통증이 있거나 촉진되는 혹이 있다면
유방 전문의의 진찰이 필요합니다.

감사합니다.

0개의 코멘트가 있습니다.