암진단 사례

아산유외과
암진단 사례입니다.

내용보기
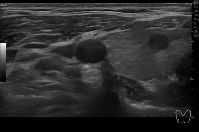
아산유외과개원후 143번째 갑상선암진단
작성자 관리*** 등록일 2025-07-30 13:22:26 조회수 213
첨부파일 첨부파일 없음

 

상기환자 외부건진 갑상선 이상소견으로 세침검사위해 내원하신 30대 중반 여성분으로 

의심스러운 갑상선 우엽 세포검사후 갑상선암으로 진단되었습니다

 

 

0개의 코멘트가 있습니다.