암진단 사례

아산유외과
암진단 사례입니다.

내용보기
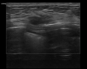
아산유외과개원후 948번째 유방암진단
작성자 관리*** 등록일 2025-06-23 14:29:02 조회수 206
첨부파일 첨부파일 없음


 

상기환자는 유방암 추적관찰 위해 내원하신 40대 초반 여성분으로 의심스러운 우측 혹 조직검사 시행해 유방암 진단되었습니다.

0개의 코멘트가 있습니다.