아산유외과의원
menu
icon1
온라인상담
icon2
온라인예약
icon3
오시는길
icon4
진료시간
icon1
로그인
icon2
회원가입
icon3
ID/비번찾기
원장소개
병원소개
맘모톰클리닉
유방암클리닉
갑상선클리닉
암진단사례
건강TV
home
암진단 사례
암진단 사례
아산유외과
암진단 사례
입니다.
내용보기
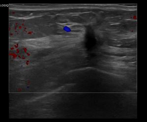
아산유외과개원후 947번째 유방암진단
작성자
관리***
등록일
2025-06-20 14:40:37
조회수
164
첨부파일
첨부파일 없음
상기환자는 외부검사 이상소견으로 조직검사 권유받아 내원하신 50대 후반 여성분으로 의심스러운 좌측 혹 조직검사 시행해 유방암 진단 되었습니다
0개의 코멘트가 있습니다.
이름
제목
내용
검색
게시판 입니다
번호
제목
작성자
등록일
1021
아산유외과개원후 947번째 유방암진단
관리***
2025.06.20
1020
아산유외과개원후 946번째 유방암진단
관리***
2025.06.20
1019
아산유외과개원후 945번째 유방암진단
관리***
2025.06.16
1018
아산유외과개원후 944번째 유방암진단
관리***
2025.06.16
1017
아산유외과개원후 943번째 유방암진단
관리***
2025.06.14
1016
아산유외과개원후 942번째 유방암진단
관리***
2025.06.02
1015
아산유외과개원후 941번째 유방암진단
관리***
2025.06.02
1014
아산유외과개원후 940번째 유방암진단
관리***
2025.05.31
1013
아산유외과개원후 939번째 유방암진단
관리***
2025.05.17
1012
아산유외과개원후 938번째 유방암진단
관리***
2025.05.03
1011
아산유외과개원후 937번째 유방암진단
관리***
2025.04.21
1010
아산유외과개원후 936번째 유방암진단
관리***
2025.04.12
1009
아산유외과개원후 935번째 유방암진단
관리***
2025.04.05
1008
아산유외과개원후 934번째 유방암진단
관리***
2025.03.31
1007
아산유외과개원후 933번째 유방암진단
관리***
2025.03.25
<<
1
2
3
4
5
6
7
8
9
10
>>