암진단 사례

아산유외과
암진단 사례입니다.

내용보기
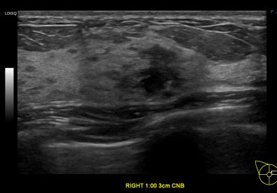
아산유외과개원후 945번째 유방암진단
작성자 관리*** 등록일 2025-06-16 11:06:04 조회수 343
첨부파일 첨부파일 없음

 

상기환자는 우측유방 만져지는 멍우리있어 내원하신 40대 초반 여성분으로 의심스러운 우측혹 조직검사 시행해 유방암 진단되었습니다.

0개의 코멘트가 있습니다.