암진단 사례

아산유외과
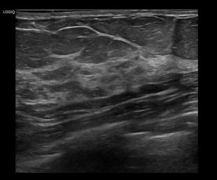
암진단 사례입니다.

내용보기
아산유외과개원후 944번째 유방암진단
작성자 관리*** 등록일 2025-06-16 11:01:25 조회수 172
첨부파일 첨부파일 없음


 

상기환자는 외부검사 이상소견으로 내원하신 60대 후반 여성분으로 의심스러운 좌측 혹 조직검사 시행해 유방암 진단되었습니다

0개의 코멘트가 있습니다.