암진단 사례

아산유외과
암진단 사례입니다.

내용보기
아산유외과개원후 939번째 유방암진단
작성자 관리*** 등록일 2025-05-17 10:30:53 조회수 199
첨부파일 첨부파일 없음

 

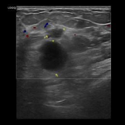
상기환자는 우측유방 만져지는 멍우리로 내원하신 50대 초반 여성분으로 의심스러운 우측 혹 조직검사 시행해 유방암 진단되었습니다.

 

 

0개의 코멘트가 있습니다.