암진단 사례

아산유외과
암진단 사례입니다.

내용보기
아산유외과 개원 후 88번째 유방암진단.
작성자 관리*** 등록일 2014-10-21 20:23:16 조회수 824
첨부파일 첨부파일 없음
 
 
오른쪽 가슴에 만져지는 멍우리가 있어
타병원에서 유방촬영상 우측에 종괴소견으로
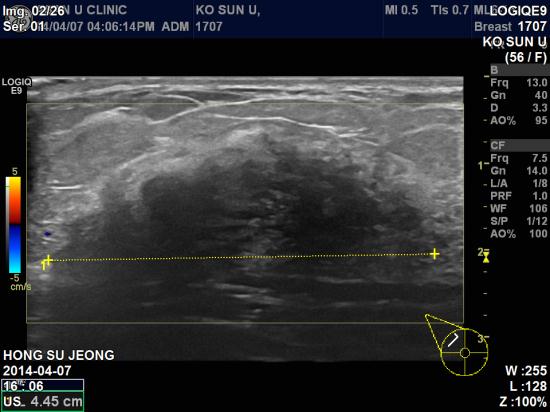
내원하신 56세 여자분이십니다.

본원 초음파 상 우측유방 11시방향에 4.45 cm 의 종괴 및
우측겨드랑이의 림프절 비대소견.

쇄골상 림프절까지 비대소견있어
각각 조직검사와 세포검사를 시행하였습니다.

조직검사결과 침윤성유관암 및
겨드랑이와 쇄골상림프절까지 전이로 진단되었습니다.

쇄골상 림프절까지 전이된 경우 초기는 지난 상태지만
PET, MRI 검사등 을 통해

수술을 포함한 함암치료, 방사선치료, 호르몬 치료 등을 통해
완치가 가능합니다.

환자분의 빠른쾌유를 기도하겠습니다.

감사합니다.


0개의 코멘트가 있습니다.