암진단 사례

아산유외과
암진단 사례입니다.

내용보기
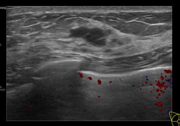
아산유외과개원후 935번째 유방암진단
작성자 관리*** 등록일 2025-04-05 09:12:08 조회수 235
첨부파일 첨부파일 없음


 

상기환자는 유방 추적 관찰 위해 내원하신 40대 후반 여성분으로 의심스러운 우측 혹 조직검사 시행해 유방암 진단되었습니다.

0개의 코멘트가 있습니다.