아산유외과의원
menu
icon1
온라인상담
icon2
온라인예약
icon3
오시는길
icon4
진료시간
icon1
로그인
icon2
회원가입
icon3
ID/비번찾기
원장소개
병원소개
맘모톰클리닉
유방암클리닉
갑상선클리닉
암진단사례
건강TV
home
암진단 사례
암진단 사례
아산유외과
암진단 사례
입니다.
내용보기
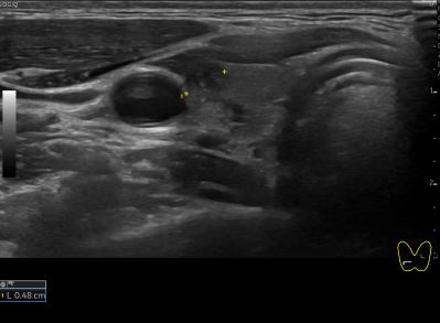
아산유외과개원후 142번째 갑상선암진단
작성자
관리***
등록일
2025-03-10 09:59:15
조회수
284
첨부파일
첨부파일 없음
상기환자 외부건진 갑상선 이상소견으로 세침검사위해 내원하신 20대 후반 여성분으로
의심스러운 갑상선 우엽 세포검사후 갑상선암으로 진단되었습니다
0개의 코멘트가 있습니다.
이름
제목
내용
검색
게시판 입니다
번호
제목
작성자
등록일
1006
아산유외과개원후 932번째 유방암진단
관리***
2025.03.21
1005
아산유외과개원후 931번째 유방암진단
관리***
2025.03.18
1004
아산유외과개원후 930번째 유방암진단
관리***
2025.03.14
1003
아산유외과개원후 142번째 갑상선암진단
관리***
2025.03.10
1002
아산유외과개원후 929번째 유방암진단
관리***
2025.03.04
1001
아산유외과개원후 928번째 유방암진단
관리***
2025.02.24
1000
아산유외과개원후 141번째 갑상선암진단
관리***
2025.02.18
999
아산유외과개원후 927번째 유방암진단
관리***
2025.02.14
998
아산유외과개원후 926번째 유방암진단
관리***
2025.02.07
997
아산유외과개원후 925번째 유방암진단
관리***
2025.01.31
996
아산유외과개원후 140번째 갑상선암진단
관리***
2025.01.20
995
아산유외과개원후 924번째 유방암진단
관리***
2025.01.14
994
아산유외과개원후 923번째 유방암진단
관리***
2025.01.06
993
아산유외과개원후 139번째 갑상선암진단
관리***
2025.01.02
992
아산유외과개원후 922번째 유방암진단
관리***
2024.12.23
<<
1
2
3
4
5
6
7
8
9
10
>>