암진단 사례

아산유외과
암진단 사례입니다.

내용보기
아산유외과 개원 후 87번째 유방암진단.
작성자 관리*** 등록일 2014-10-21 20:21:50 조회수 821
첨부파일 첨부파일 없음

 
 
 
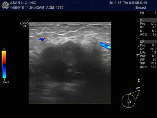
좌측 유방의 몽우리와 통증으로 내원한 55세 여성분입니다.

외부 유방촬영상 좌측 유방에 잡히는 몽우리와는
 다른쪽에 미세석회화가 군집을 이루고 있고

본원 초음파로 확인한 유두근처 상내측에도 0.5cm미만의 조그만 혹이 있어

세군데를 각각 조직검사 시행하였습니다.

결과상 모두 침윤성 유관암으로 진단되어 치료위해 전원되셨습니다.

유방 MRI와 PET scan을 통해 수술전
잠재적인 악성부위 여부를 확인하는 과정에 있습니다.

암으로 진단된 혹이 세개있어 좌절할 필요는 없으십니다.

몇기인지 결정하는 가장 중요한 인자는

세개의 혹 크기의 합이 아니라

가장 큰 혹의 장경이기 때문입니다.

희망의 주말 보내세요, 모두들!

0개의 코멘트가 있습니다.