암진단 사례

아산유외과
암진단 사례입니다.

내용보기
아산유외과개원후 928번째 유방암진단
작성자 관리*** 등록일 2025-02-24 11:50:02 조회수 231
첨부파일 첨부파일 없음

 

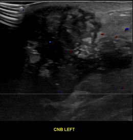
상기환자는 좌측유방 만져지는 멍우리있어  내원하신 40대초반 여성분으로 의심스러운 좌측혹 조직검사 시행해 유방암 진단되었습니다.


0개의 코멘트가 있습니다.