암진단 사례

아산유외과
암진단 사례입니다.

내용보기
아산유외과개원후 924번째 유방암진단
작성자 관리*** 등록일 2025-01-14 10:25:08 조회수 222
첨부파일 첨부파일 없음

 

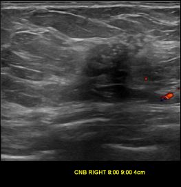
상기환자는 우측 유방 만져지는 멍우리로 내원하신 60대초반 여성분으로 의심스러운 우측혹 조직검사 시행해 제자리암으로 진단되었습니다

0개의 코멘트가 있습니다.