암진단 사례

아산유외과
암진단 사례입니다.

내용보기
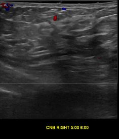
아산유외과개원후 923번째 유방암진단
작성자 관리*** 등록일 2025-01-06 12:22:52 조회수 252
첨부파일 첨부파일 없음

 

상기환자는 우측 유방 만져지는 멍우리로 내원하신 40대중반 여성분으로 의심스러운 우측혹 조직검사 시행해 제자리암으로 진단되었습니다

0개의 코멘트가 있습니다.