암진단 사례

아산유외과
암진단 사례입니다.

내용보기
아산유외과개원후 911번째 유방암진단
작성자 관리*** 등록일 2024-09-26 12:23:45 조회수 360
첨부파일 첨부파일 없음

 

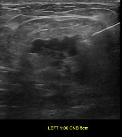
상기환자는 좌측 유방 만져지는 멍우리있어  내원하신 50대초반 여성분으로 의심스러운 좌측혹 조직검사 시행해 유방암으로 진단되었습니다  

0개의 코멘트가 있습니다.