암진단 사례

아산유외과
암진단 사례입니다.

내용보기
아산유외과개원후 909번째 유방암진단
작성자 관리*** 등록일 2024-09-12 15:16:38 조회수 468
첨부파일 첨부파일 없음

 

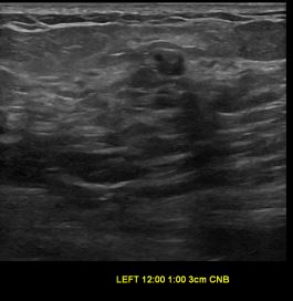
상기환자는 외부검사 이상소견으로 내원하신 60대후반 여성분으로 의심스러운 좌측혹 

조직검사 시행해 제자리암으로 진단되었습니다   

0개의 코멘트가 있습니다.