암진단 사례

아산유외과
암진단 사례입니다.

내용보기
아산유외과개원후 898번째 유방암진단
작성자 관리*** 등록일 2024-07-17 08:32:02 조회수 237
첨부파일 첨부파일 없음

 

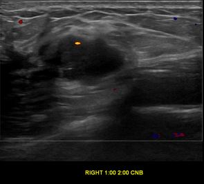
상기환자는 외부검사상 조직검사 권유받고 내원하신 40대 초반

여성분으로 의심스러운 우측유방혹 조직검사 시행해 유방암으로 진단되었습니다


0개의 코멘트가 있습니다.