아산유외과의원
menu
icon1
온라인상담
icon2
온라인예약
icon3
오시는길
icon4
진료시간
icon1
로그인
icon2
회원가입
icon3
ID/비번찾기
원장소개
병원소개
맘모톰클리닉
유방암클리닉
갑상선클리닉
암진단사례
건강TV
home
암진단 사례
암진단 사례
아산유외과
암진단 사례
입니다.
내용보기
아산유외과 개원 후 81번째 유방암진단.
작성자
관리***
등록일
2014-10-21 20:07:48
조회수
808
첨부파일
첨부파일 없음
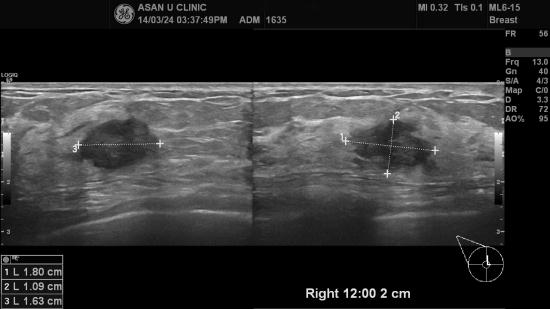
44세 여성분으로 우측 유방에 갑작스레 몽우리가 만져져 내원하셨습니다.
유방촬영상 우측유방에 결절과 우측 액와부에 림프절 비대보였으나
유방초음파유도하여 시행한 중심핵생검상 유방에만 침윤성 유방암이 있고
액와부에 전이없는 소견보였습니다.
유방의 결절도 2cm미만이라
그래도 좋은 예후를 보일듯해 마음이 좋습니다.
감사합니다.
모두들 멋진 주말 보내세요.^^
0개의 코멘트가 있습니다.
이름
제목
내용
검색
게시판 입니다
번호
제목
작성자
등록일
106
아산유외과 개원 후 84번째 유방암진단.
관리***
2014.10.21
105
아산유외과 개원 후 83번째 유방암진단.
관리***
2014.10.21
104
아산유외과 개원 후 82번째 유방암진단.
관리***
2014.10.21
103
아산유외과 개원 후 81번째 유방암진단.
관리***
2014.10.21
102
아산유외과 개원 후 80번째 유방암진단.
관리***
2014.10.21
101
아산유외과 개원 후 21번째 갑상선암 진단.
관리***
2014.10.21
100
아산유외과 개원 후 79번째 유방암진단.
관리***
2014.10.21
99
아산유외과 개원 후 78번째 유방암진단.
관리***
2014.10.21
98
아산유외과 개원 후 77번째 유방암진단.
관리***
2014.10.21
97
아산유외과 진료 후 76번째 유방암진단.
관리***
2014.10.21
96
아산유외과 진료 후 75번째 유방암진단.
관리***
2014.10.21
95
아산유외과 진료 후 74번째 유방암진단.
관리***
2014.10.21
94
아산유외과 진료 후 73번째 유방암진단.
관리***
2014.10.21
93
아산유외과 진료 후 72번째 유방암진단.
관리***
2014.10.21
92
아산유외과 개원 후 71번째 유방암진단.
관리***
2014.10.21
<<
61
62
63
64
65
66
67
68
69
70
>>