암진단 사례

아산유외과
암진단 사례입니다.

내용보기
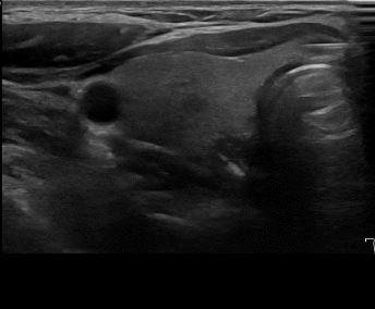
아산유외과개원후 123번째 갑상선암진단
작성자 관리*** 등록일 2024-05-17 12:29:04 조회수 253
첨부파일 첨부파일 없음

 

상기환자 목에 불편감 있어 검사위해 내원하신 40대중반 여성분으로 

의심스러운 갑상선 협부 결절 세포검사 진행후 갑상선암으로 진단되었습니다


 

0개의 코멘트가 있습니다.