암진단 사례

아산유외과
암진단 사례입니다.

내용보기
아산유외과개원후 880번째 유방암진단
작성자 관리*** 등록일 2024-04-16 12:23:14 조회수 259
첨부파일 첨부파일 없음

 

 

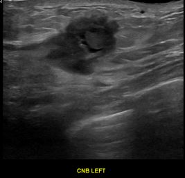
상기환자는 만져지는 멍울있어 검사위해  내원하신 40대 초반

여성분으로 의심스러운 좌측유방혹 조직검사 시행해 유방암으로 진단되었습니다

 

0개의 코멘트가 있습니다.