암진단 사례

아산유외과
암진단 사례입니다.

내용보기
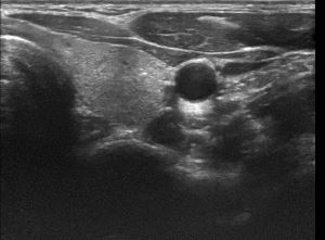
아산유외과개원후 118번째 갑상선암진단
작성자 관리*** 등록일 2024-04-02 12:05:06 조회수 267
첨부파일 첨부파일 없음

 

 

상기환자 외부건진이상소견 세침검사위해 내원하신 30대 중반 여성분으로 

의심스러운 갑상선 좌엽 결절 세포검사 진행후 갑상선암으로 진단되었습니다

0개의 코멘트가 있습니다.