암진단 사례

아산유외과
암진단 사례입니다.

내용보기
아산유외과개원후 877번째 유방암진단
작성자 관리*** 등록일 2024-03-29 14:59:39 조회수 362
첨부파일 첨부파일 없음

 

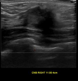
상기환자는 우측 유방 만져지는 멍우리 있어 정밀검사 위해 내원하신 40대 초반 

여성분으로 의심스러운 우측 유방혹 조직검사 시행해 유방암으로 진단 되었습니다


 

0개의 코멘트가 있습니다.