암진단 사례

아산유외과
암진단 사례입니다.

내용보기
아산유외과개원후 876번째 유방암진단
작성자 관리*** 등록일 2024-03-25 16:39:01 조회수 368
첨부파일 첨부파일 없음

 

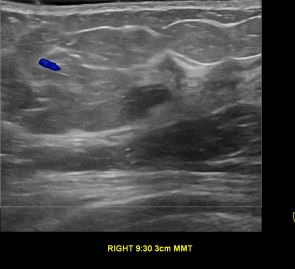
상기환자는 우측 유두분비물 있어 정밀검사위해 내원하신 60대 중반 여성분으로 우측양성종양 절제술 시행해 유방암으로 진단 되었습니다

0개의 코멘트가 있습니다.