암진단 사례

아산유외과
암진단 사례입니다.

내용보기
아산유외과개원후 873번째 유방암진단
작성자 관리*** 등록일 2024-02-17 11:15:04 조회수 247
첨부파일 첨부파일 없음

 

 

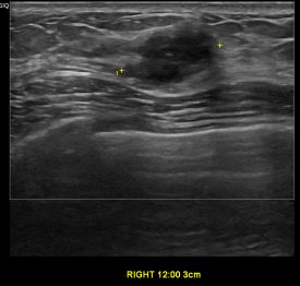
상기환자는 외부건강검진이상소견 정밀검사위해 내원하신  40대 중반

여성분으로 의심스러운 우측유방혹 조직검사 시행해 유방암으로 진단되었습니다

0개의 코멘트가 있습니다.