암진단 사례

아산유외과
암진단 사례입니다.

내용보기
아산유외과개원후 116번째 갑상선암진단
작성자 관리*** 등록일 2024-01-27 12:32:43 조회수 237
첨부파일 첨부파일 없음

 

 

 

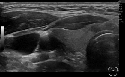
상기환자 외부건진이상소견 정밀검사위해 내원하신 30대중반 여성분으로 

 

의심스러운 갑상선 협부 결절 세포검사 진행후 갑상선암으로 진단되었습니다

0개의 코멘트가 있습니다.