아산유외과의원
menu
icon1
온라인상담
icon2
온라인예약
icon3
오시는길
icon4
진료시간
icon1
로그인
icon2
회원가입
icon3
ID/비번찾기
원장소개
병원소개
맘모톰클리닉
유방암클리닉
갑상선클리닉
암진단사례
건강TV
home
암진단 사례
암진단 사례
아산유외과
암진단 사례
입니다.
내용보기
아산유외과 개원 후 79번째 유방암진단.
작성자
관리***
등록일
2014-10-21 20:04:56
조회수
753
첨부파일
첨부파일 없음
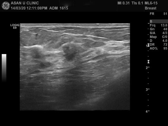
건강검진상의 이상소견으로 의뢰된 45세 여성분입니다.
우측유방 12시와 1시 인접부위에 1cm미만의 두개의 혹있어
중심핵생검을 실시하였으며
조직검사결과 침윤성 소엽암으로 진단되셨습니다.
모유의 통로가 되는 유관에 흔히 유방암이 생기지만
모유를 만드는 공장역할을 하는 소엽에서도 드물게 발생합니다.
혹의 크기가 작고
겨드랑이 림프절 비대소견이 없어 높은 완치율이 예상됩니다.
감사합니다.
0개의 코멘트가 있습니다.
이름
제목
내용
검색
게시판 입니다
번호
제목
작성자
등록일
106
아산유외과 개원 후 84번째 유방암진단.
관리***
2014.10.21
105
아산유외과 개원 후 83번째 유방암진단.
관리***
2014.10.21
104
아산유외과 개원 후 82번째 유방암진단.
관리***
2014.10.21
103
아산유외과 개원 후 81번째 유방암진단.
관리***
2014.10.21
102
아산유외과 개원 후 80번째 유방암진단.
관리***
2014.10.21
101
아산유외과 개원 후 21번째 갑상선암 진단.
관리***
2014.10.21
100
아산유외과 개원 후 79번째 유방암진단.
관리***
2014.10.21
99
아산유외과 개원 후 78번째 유방암진단.
관리***
2014.10.21
98
아산유외과 개원 후 77번째 유방암진단.
관리***
2014.10.21
97
아산유외과 진료 후 76번째 유방암진단.
관리***
2014.10.21
96
아산유외과 진료 후 75번째 유방암진단.
관리***
2014.10.21
95
아산유외과 진료 후 74번째 유방암진단.
관리***
2014.10.21
94
아산유외과 진료 후 73번째 유방암진단.
관리***
2014.10.21
93
아산유외과 진료 후 72번째 유방암진단.
관리***
2014.10.21
92
아산유외과 개원 후 71번째 유방암진단.
관리***
2014.10.21
<<
61
62
63
64
65
66
67
68
69
70
>>