암진단 사례

아산유외과
암진단 사례입니다.

내용보기
아산유외과개원후 864번째 유방암진단
작성자 관리*** 등록일 2023-09-12 08:43:51 조회수 430
첨부파일 첨부파일 없음

 

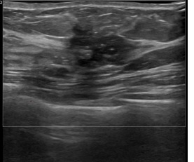
상기환자는외부검진이상소견으로 내원하신 40대 초반

여성분으로 의심스러운 좌측유방혹 조직검사 시행해 유방암 진단되었습니다. 

0개의 코멘트가 있습니다.