아산유외과의원
menu
icon1
온라인상담
icon2
온라인예약
icon3
오시는길
icon4
진료시간
icon1
로그인
icon2
회원가입
icon3
ID/비번찾기
원장소개
병원소개
맘모톰클리닉
유방암클리닉
갑상선클리닉
암진단사례
건강TV
home
암진단 사례
암진단 사례
아산유외과
암진단 사례
입니다.
내용보기
아산유외과개원후 863번째 유방암진단
작성자
관리***
등록일
2023-09-07 09:37:21
조회수
367
첨부파일
첨부파일 없음
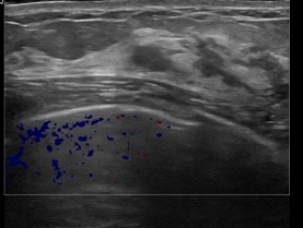
상기환자는 양성추정결절 추적관찰위해 내원하신 50대 중반
여성분으로 의심스러운 좌측유방혹 조직검사 시행해 유방암 진단되었습니다.
0개의 코멘트가 있습니다.
이름
제목
내용
검색
게시판 입니다
번호
제목
작성자
등록일
916
아산유외과개원후 868번째 유방암진단
관리***
2023.11.15
915
아산유외과개원후 867번째 유방암진단
관리***
2023.11.04
914
아산유외과개원후 866번째 유방암진단
관리***
2023.10.23
913
아산유외과개원후 113번째 갑상선암진단
관리***
2023.10.19
912
아산유외과개원후 865번째 유방암진단
관리***
2023.10.05
911
아산유외과개원후 112번째 갑상선암진단
관리***
2023.09.25
910
아산유외과개원후 864번째 유방암진단
관리***
2023.09.12
909
아산유외과개원후 863번째 유방암진단
관리***
2023.09.07
908
아산유외과개원후 111번째 갑상선암진단
관리***
2023.08.28
907
아산유외과개원후 110번째 갑상선암진단
관리***
2023.08.21
906
아산유외과개원후 862번째 유방암진단
관리***
2023.08.09
905
아산유외과개원후 861번째 유방암진단
관리***
2023.07.29
904
아산유외과개원후 860번째 유방암진단
관리***
2023.07.24
903
아산유외과개원후 109번째 갑상선암진단
관리***
2023.07.14
902
아산유외과개원후 859번째 유방암진단
관리***
2023.07.10
<<
1
2
3
4
5
6
7
8
9
10
>>