암진단 사례

아산유외과
암진단 사례입니다.

내용보기
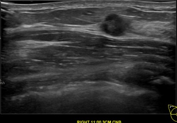
아산유외과개원후 862번째 유방암진단
작성자 관리*** 등록일 2023-08-09 11:56:39 조회수 301
첨부파일 첨부파일 없음

 

 

상기환자는 만져지는멍울있어 내원하신 50대 후반

여성분으로 의심스러운 우측유방혹 조직검사 시행해 유방암 진단되었습니다. 

 

0개의 코멘트가 있습니다.