아산유외과의원
menu
icon1
온라인상담
icon2
온라인예약
icon3
오시는길
icon4
진료시간
icon1
로그인
icon2
회원가입
icon3
ID/비번찾기
원장소개
병원소개
맘모톰클리닉
유방암클리닉
갑상선클리닉
암진단사례
건강TV
home
암진단 사례
암진단 사례
아산유외과
암진단 사례
입니다.
내용보기
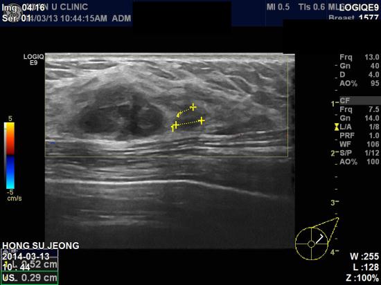
아산유외과 개원 후 78번째 유방암진단.
작성자
관리***
등록일
2014-10-21 20:03:51
조회수
810
첨부파일
첨부파일 없음
2014.3월에 실시한 건강검진(유방촬영)에서
좌측유방 결절소견으로 내원하신 45세 여자분이십니다.
본원에서 초음파 검사결과 좌측1시방향에 2cm 의 결절이 있었고
좌측유방에 림프절 비대소견있어 조직검사과 세포검사시행결과
침윤성유관암으로 진단되었습니다.
다행이 세포검사상 겨드랑이 림프절엔 전이소견이 없었으나
대학병원으로 전환하여 PET(양전자단층촬영)와,
유방 MRI 검사를 통해 치료계획을 세울예정이십니다.
감사합니다.
0개의 코멘트가 있습니다.
이름
제목
내용
검색
게시판 입니다
번호
제목
작성자
등록일
106
아산유외과 개원 후 84번째 유방암진단.
관리***
2014.10.21
105
아산유외과 개원 후 83번째 유방암진단.
관리***
2014.10.21
104
아산유외과 개원 후 82번째 유방암진단.
관리***
2014.10.21
103
아산유외과 개원 후 81번째 유방암진단.
관리***
2014.10.21
102
아산유외과 개원 후 80번째 유방암진단.
관리***
2014.10.21
101
아산유외과 개원 후 21번째 갑상선암 진단.
관리***
2014.10.21
100
아산유외과 개원 후 79번째 유방암진단.
관리***
2014.10.21
99
아산유외과 개원 후 78번째 유방암진단.
관리***
2014.10.21
98
아산유외과 개원 후 77번째 유방암진단.
관리***
2014.10.21
97
아산유외과 진료 후 76번째 유방암진단.
관리***
2014.10.21
96
아산유외과 진료 후 75번째 유방암진단.
관리***
2014.10.21
95
아산유외과 진료 후 74번째 유방암진단.
관리***
2014.10.21
94
아산유외과 진료 후 73번째 유방암진단.
관리***
2014.10.21
93
아산유외과 진료 후 72번째 유방암진단.
관리***
2014.10.21
92
아산유외과 개원 후 71번째 유방암진단.
관리***
2014.10.21
<<
61
62
63
64
65
66
67
68
69
70
>>