암진단 사례

아산유외과
암진단 사례입니다.

내용보기
아산유외과개원후 859번째 유방암진단
작성자 관리*** 등록일 2023-07-10 13:04:21 조회수 295
첨부파일 첨부파일 없음

 

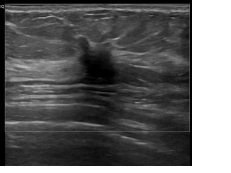
상기환자는 외부건진이상소견 조직검사위해 내원하신 50대 초반

여성분으로 의심스러운 좌측혹 조직검사 시행해 유방암 진단되었습니다.  

 

0개의 코멘트가 있습니다.