암진단 사례

아산유외과
암진단 사례입니다.

내용보기
아산유외과개원후 858번째 유방암진단
작성자 관리*** 등록일 2023-07-06 12:49:56 조회수 302
첨부파일 첨부파일 없음

 

 

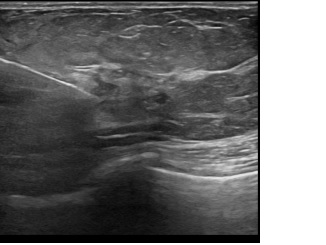
상기환자는 일주일전부터 만져지는 멍울있어 내원하신 50대 초반

여성분으로 의심스러운 좌측혹 조직검사 시행해 상피내암 진단되었습니다.  

0개의 코멘트가 있습니다.