아산유외과의원
menu
icon1
온라인상담
icon2
온라인예약
icon3
오시는길
icon4
진료시간
icon1
로그인
icon2
회원가입
icon3
ID/비번찾기
원장소개
병원소개
맘모톰클리닉
유방암클리닉
갑상선클리닉
암진단사례
건강TV
home
암진단 사례
암진단 사례
아산유외과
암진단 사례
입니다.
내용보기
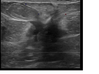
아산유외과개원후 856번째 유방암진단
작성자
관리***
등록일
2023-06-17 11:37:28
조회수
340
첨부파일
첨부파일 없음
상기환자는 외부건진이상소견 조직검사위해 내원하신 60대 초반
여성분으로 의심스러운 좌측혹 조직검사 시행해 유방암 진단되었습니다.
0개의 코멘트가 있습니다.
이름
제목
내용
검색
게시판 입니다
번호
제목
작성자
등록일
901
아산유외과개원후 858번째 유방암진단
관리***
2023.07.06
900
아산유외과개원후 857번째 유방암진단
관리***
2023.06.26
899
아산유외과개원후 108번째 갑상선암진단
관리***
2023.06.22
898
아산유외과개원후 856번째 유방암진단
관리***
2023.06.17
897
아산유외과개원후 855번째 유방암진단
관리***
2023.06.10
896
아산유외과개원후 854번째 유방암진단
관리***
2023.05.31
895
아산유외과개원후 107번째 갑상선암진단
관리***
2023.05.25
894
아산유외과개원후 853번째 유방암진단
관리***
2023.05.19
893
아산유외과개원후 852번째 유방암진단
관리***
2023.05.13
892
아산유외과개원후 106번째 갑상선암진단
관리***
2023.05.09
891
아산유외과개원후 851번째 유방암진단
관리***
2023.04.29
890
아산유외과개원후 850번째 유방암진단
관리***
2023.04.22
889
아산유외과개원후 104번째 갑상선암진단
관리***
2023.04.15
888
아산유외과개원후 849번째 유방암진단
관리***
2023.04.10
887
아산유외과개원후 102번째 갑상선암진단
관리***
2023.04.01
<<
11
12
13
14
15
16
17
18
19
20
>>