암진단 사례

아산유외과
암진단 사례입니다.

내용보기
아산유외과개원후 854번째 유방암진단
작성자 관리*** 등록일 2023-05-31 13:32:56 조회수 349
첨부파일 첨부파일 없음

 

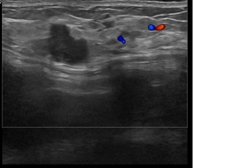
상기환자는 외부건진이상소견 만져지는 좌측유방멍울 조직검사위해 내원하신 40대 후반

여성분으로 의심스러운 좌측혹 조직검사 시행해 유방암 진단되었습니다.  


0개의 코멘트가 있습니다.