암진단 사례

아산유외과
암진단 사례입니다.

내용보기
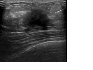
아산유외과개원후 853번째 유방암진단
작성자 관리*** 등록일 2023-05-19 08:21:46 조회수 304
첨부파일 첨부파일 없음

  

 

상기환자는 외부건진이상소견 정밀검사위해 내원하신 60대 중반

여성분으로 의심스러운 우측혹 조직검사 시행해 유방암 진단되었습니다.  

 

0개의 코멘트가 있습니다.