암진단 사례

아산유외과
암진단 사례입니다.

내용보기
아산유외과개원후 850번째 유방암진단
작성자 관리*** 등록일 2023-04-22 11:56:46 조회수 328
첨부파일 첨부파일 없음

 

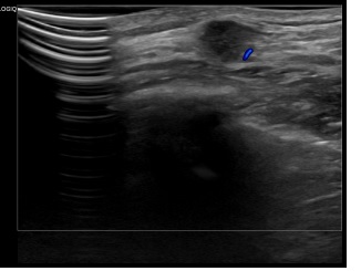
상기환자는 우측유방 만져지는 멍울있어  내원하신 40대초반

여성분으로 의심스러운 우측혹 조직검사 시행해 유방암 진단되었습니다.  

 

0개의 코멘트가 있습니다.