암진단 사례

아산유외과
암진단 사례입니다.

내용보기
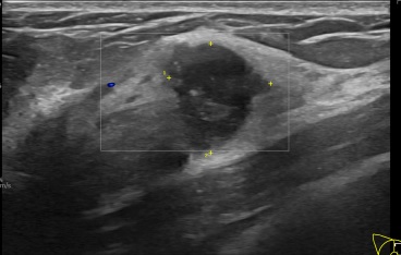
아산유외과개원후 846번째 유방암진단
작성자 관리*** 등록일 2023-03-06 10:04:22 조회수 476
첨부파일 첨부파일 없음

 

 

상기환자는  우측유방 만져지는 멍울로 내원하신 50대초반

여성분으로 의심스러운 우측혹 조직검사 시행해 유방암 진단되었습니다   

0개의 코멘트가 있습니다.