암진단 사례

아산유외과
암진단 사례입니다.

내용보기
아산유외과개원후 844번째 유방암진단
작성자 관리*** 등록일 2023-02-18 09:52:04 조회수 381
첨부파일 첨부파일 없음

 

 

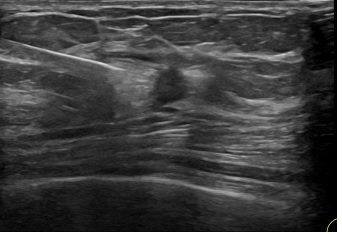
상기환자는  외부검사이상소견 조직검사위해 내원하신 50대중반

여성분으로 의심스러운 좌측혹 조직검사 시행해 유방암 진단되었습니다   

 

 

0개의 코멘트가 있습니다.