아산유외과의원
menu
icon1
온라인상담
icon2
온라인예약
icon3
오시는길
icon4
진료시간
icon1
로그인
icon2
회원가입
icon3
ID/비번찾기
원장소개
병원소개
맘모톰클리닉
유방암클리닉
갑상선클리닉
암진단사례
건강TV
home
암진단 사례
암진단 사례
아산유외과
암진단 사례
입니다.
내용보기
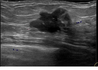
아산유외과개원후 842번째 유방암진단
작성자
관리***
등록일
2023-01-27 08:16:29
조회수
332
첨부파일
첨부파일 없음
상기환자는 외부검사이상 조직검사위해 내원하신 50대후반
여성분으로 의심스러운 좌측혹 조직검사 시행해 유방암 진단되었습니다
0개의 코멘트가 있습니다.
이름
제목
내용
검색
게시판 입니다
번호
제목
작성자
등록일
886
아산유외과개원후 848번째 유방암진단
관리***
2023.03.25
885
아산유외과개원후 847번째 유방암진단
관리***
2023.03.18
884
아산유외과개원후 101번째 갑상선암진단
관리***
2023.03.13
883
아산유외과개원후 846번째 유방암진단
관리***
2023.03.06
882
아산유외과개원후 100번째 갑상선암진단
관리***
2023.03.03
881
아산유외과개원후 844번째 유방암진단
관리***
2023.02.18
880
아산유외과개원후 99번째 갑상선암진단
관리***
2023.02.13
879
아산유외과개원후 843번째 유방암진단
관리***
2023.01.30
878
아산유외과개원후 842번째 유방암진단
관리***
2023.01.27
877
아산유외과개원후 98번째 갑상선암진단
관리***
2023.01.10
876
아산유외과개원후 841번째 유방암진단
관리***
2023.01.03
875
아산유외과개원후 840번째 유방암진단
관리***
2022.12.27
874
아산유외과개원후 97번째 갑상선암진단
관리***
2022.12.19
873
아산유외과개원후 839번째 유방암진단
관리***
2022.12.12
872
아산유외과개원후 838번째 유방암진단
관리***
2022.12.05
<<
11
12
13
14
15
16
17
18
19
20
>>