아산유외과의원
menu
icon1
온라인상담
icon2
온라인예약
icon3
오시는길
icon4
진료시간
icon1
로그인
icon2
회원가입
icon3
ID/비번찾기
원장소개
병원소개
맘모톰클리닉
유방암클리닉
갑상선클리닉
암진단사례
건강TV
home
암진단 사례
암진단 사례
아산유외과
암진단 사례
입니다.
내용보기
아산유외과 진료 후 74번째 유방암진단.
작성자
관리***
등록일
2014-10-21 19:58:43
조회수
748
첨부파일
첨부파일 없음
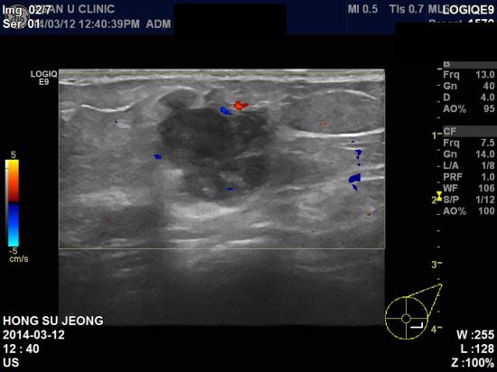
2~3일전부터 좌측가슴에 멍우리가 만져지는것 같다고 하시며
내원하신54세 여자분이십니다.
촉진상에도 살짝 딱딱하게 느껴지는 멍우리가 만져졌고
본원 초음파 검사상 좌측유방 4시방향 젖꼭지에서 4cm 떨어진곳에 2.79 cm 의
혹이 발견되어 조직검사결과 침윤성유관암으로 진단되었습니다.
아마 이 혹은 2~3일전이아닌 몇달전부터 만져졌을 가능성이 큽니다.
내 몸에 관심을 가지고 꾸준히 관찰할 필요가 있습니다.
감사합니다.
0개의 코멘트가 있습니다.
이름
제목
내용
검색
게시판 입니다
번호
제목
작성자
등록일
106
아산유외과 개원 후 84번째 유방암진단.
관리***
2014.10.21
105
아산유외과 개원 후 83번째 유방암진단.
관리***
2014.10.21
104
아산유외과 개원 후 82번째 유방암진단.
관리***
2014.10.21
103
아산유외과 개원 후 81번째 유방암진단.
관리***
2014.10.21
102
아산유외과 개원 후 80번째 유방암진단.
관리***
2014.10.21
101
아산유외과 개원 후 21번째 갑상선암 진단.
관리***
2014.10.21
100
아산유외과 개원 후 79번째 유방암진단.
관리***
2014.10.21
99
아산유외과 개원 후 78번째 유방암진단.
관리***
2014.10.21
98
아산유외과 개원 후 77번째 유방암진단.
관리***
2014.10.21
97
아산유외과 진료 후 76번째 유방암진단.
관리***
2014.10.21
96
아산유외과 진료 후 75번째 유방암진단.
관리***
2014.10.21
95
아산유외과 진료 후 74번째 유방암진단.
관리***
2014.10.21
94
아산유외과 진료 후 73번째 유방암진단.
관리***
2014.10.21
93
아산유외과 진료 후 72번째 유방암진단.
관리***
2014.10.21
92
아산유외과 개원 후 71번째 유방암진단.
관리***
2014.10.21
<<
61
62
63
64
65
66
67
68
69
70
>>