암진단 사례

아산유외과
암진단 사례입니다.

내용보기
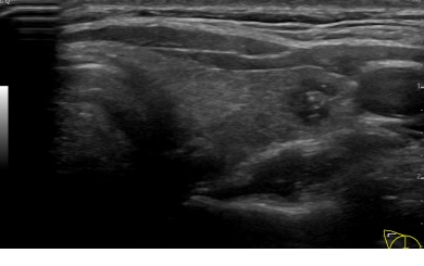
아산유외과개원후 98번째 갑상선암진단
작성자 관리*** 등록일 2023-01-10 15:32:47 조회수 330
첨부파일 첨부파일 없음

 

상기환자 갑상선 양성추정결절 추적관찰하시는 30대 후반 여성분으로 갑상선 초음파 시행후 의심스러운 갑상선 좌엽 결절 세포검사 진행후 갑상선암으로 진단되었습니다 

0개의 코멘트가 있습니다.